Skip to main content

Anti-VGlut1 [N28/9R]
(Antibody #180087)

Ordering

Item Catalog # Description Quantity Price (USD)
Recombinant Antibody 180087-rAb 100 µg of purified recombinant antibody $262 *
Recombinant Antibody trial size 180087-rAb.T 20 µg of purified recombinant antibody $89 *

* Log in to view industry pricing.

Features

Production & Usage

  • Production Plasmid
    Anti-VGlut1 [N28/9R]
  • Purification
    Purified from cell culture supernatant using Protein A or Protein G affinity columns followed by a buffer exchange with centrifugal columns.
  • Storage Buffer
    PBS + 1 mM sodium azide

Delivery

  • Concentration
    0.9-1.1 mg/mL
  • Storage
    Upon receipt, prepare single use aliquots and store at -20 °C until use. Avoid multiple freeze thaw cycles.
  • Shipment
    Blue ice or room temp

Resource Information

  • Persistent Resource Identifier
    RRID:AB_2750766

Terms and Licenses

Target Antigen

Protein Vesicular glutamate transporter 1
Antigen Description Amino acids 493-560 (cytoplasmic C-terminus) of rat VGlut1
Antigen Amino Acid Sequence
EKQPWAEPEEMSEEKCGFVGHDQLAGSDESEMEDEVEPPGAPPAPPPSYGATHSTVQPPRPPPPVRDY
Species R. norvegicus (rat)
Additional Species Reactivity H. sapiens (human),  M. musculus (mouse)
Gene Slc17a7
Alternative Names
  • Brain-specific Na(+)-dependent inorganic phosphate cotransporter
  • Solute carrier family 17 member 7
External References

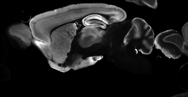
Applications (7)

Immunohistochemistry

1 image
Immunohistochemistry image by Zhuhao Wu, Weill Cornell Medicine
Submitted By: Zhuhao Wu, Weill Cornell Medicine
Addgene Partner
Antibody Type
Recombinant
Target Species
M. musculus (mouse)
Result
Pass
1 image
Immunohistochemistry image by James Trimmer, UC Davis
Submitted By: James Trimmer, UC Davis
Addgene Partner
Antibody Type
Recombinant
Target Species
R. norvegicus (rat)
Result
Pass
2 images
Immunohistochemistry image by UC Davis/NIH NeuroMab Facility
Submitted By: UC Davis/NIH NeuroMab Facility
Antibody Type
Hybridoma
Target Species
R. norvegicus (rat)
Result
Pass

Western Blot

1 image
Western Blot image by Addgene
Submitted By: Addgene
Antibody Type
Recombinant
Target Species
R. norvegicus (rat)
Result
Pass
2 images
Western Blot image by James Trimmer, UC Davis
Submitted By: James Trimmer, UC Davis
Addgene Partner
Antibody Type
Recombinant
Target Species
R. norvegicus (rat)
Result
Pass
1 image
Western Blot image by UC Davis/NIH NeuroMab Facility
Submitted By: UC Davis/NIH NeuroMab Facility
Antibody Type
Hybridoma
Target Species
R. norvegicus (rat)
Result
Pass
1 image
Western Blot image by UC Davis/NIH NeuroMab Facility
Submitted By: UC Davis/NIH NeuroMab Facility
Antibody Type
Hybridoma
Target Species
Other
Result
Pass
How to cite this antibody ( Back to top)

These antibodies were created by your colleagues. Please acknowledge the Principal Investigator, cite the article in which the antibodies were described, and include Addgene in the Materials and Methods of your future publications.

  • For your Materials & Methods section:

    Anti-VGlut1 [N28/9R] - from James Trimmer (Addgene antibody # 180087 ; http://n2t.net/addgene:180087 ; RRID:AB_2750766)
  • For your References section:

    A toolbox of IgG subclass-switched recombinant monoclonal antibodies for enhanced multiplex immunolabeling of brain. Andrews NP, Boeckman JX, Manning CF, Nguyen JT, Bechtold H, Dumitras C, Gong B, Nguyen K, van der List D, Murray KD, Engebrecht J, Trimmer JS. eLife. 2019 Jan 22;8. pii: 43322. doi: 10.7554/eLife.43322. 10.7554/eLife.43322 PubMed 30667360